Logo เติมยิ้มคลินิก

✨ วีเนียร์คืออะไร?

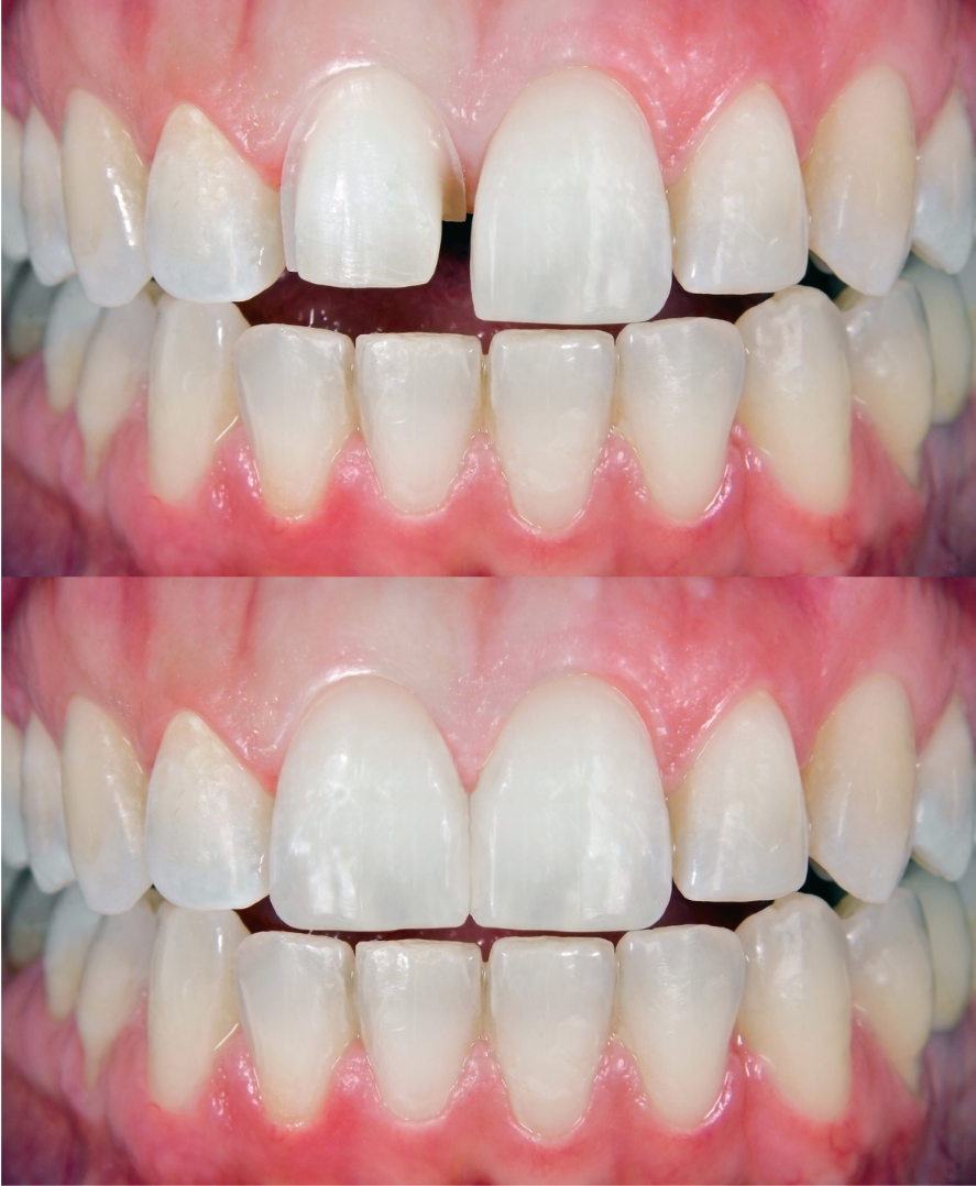
ภาพประกอบวีเนียร์

วีเนียร์ (Veneer) คือ แผ่นบาง ๆ ที่ทำจากวัสดุเซรามิกหรือเรซินคอมโพสิต ติดบนผิวหน้าของฟัน เพื่อแก้ไขปัญหาฟันที่ไม่สวย เช่น ฟันสีเหลือง ฟันบิ่น ฟันห่าง หรือฟันไม่เรียบเสมอกัน ช่วยให้รอยยิ้มดูสวยเป๊ะทันที โดยไม่ต้องจัดฟัน

✅ วีเนียร์เหมาะกับใคร?

  • ฟันหน้าไม่ขาว มีคราบสะสมจากกาแฟ/ชา/บุหรี่
  • ฟันไม่เท่ากัน มีรูปร่างผิดปกติ หรือบิ่น
  • ฟันห่าง ฟันล้มเล็กน้อย
  • คนที่ต้องการปรับรอยยิ้มให้ดูเป๊ะขึ้นแบบเร่งด่วน

🦷 ประเภทของวีเนียร์

  • คอมโพสิตวีเนียร์ (Composite Veneer): ทำจากวัสดุเดียวกับการอุดฟันสีเหมือนฟัน ราคาย่อมเยา ทำเสร็จได้ในวันเดียว อายุการใช้งาน 3–5 ปี
  • เซรามิกวีเนียร์ (Porcelain Veneer): วัสดุคุณภาพสูง ดูเป็นธรรมชาติ แข็งแรง ทนต่อการเปลี่ยนสี อายุการใช้งาน 10 ปีขึ้นไป
ภาพประกอบประเภทของวีเนียร์

💬 ข้อดีของการทำวีเนียร์

  • ยิ้มสวยเป๊ะในเวลาไม่นาน
  • สีฟันขาวสม่ำเสมอ ไม่เปลี่ยนสีง่าย
  • ปรับรูปร่างฟันโดยไม่ต้องจัดฟัน
  • เพิ่มความมั่นใจเมื่อต้องพูด/ยิ้ม
  • ทำได้เฉพาะซี่ที่ต้องการ ไม่ต้องทำทั้งปาก

📌 สรุป

วีเนียร์ = ยิ้มสวยได้ไว ไม่ต้องจัดฟัน!
ถ้าคุณอยาก “ยิ้มมั่นใจ ฟันขาวเรียงสวย” วีเนียร์อาจเป็นทางเลือกที่ใช่สำหรับคุณ 💬✨

อัตราค่าบริการ

วีเนียร์เซรามิค: 16,000 บาท

📞 โทรเลย 💬 ส่งข้อความ 📘 Facebook 🎵 TikTok